
Full Mouth Reconstruction in Cebu
Rebuild your smile. Restore function. Regain confidence.
Rebuild Function and Confidence
If you suffer from severely worn teeth, missing teeth, bite problems, or failed dental work, full mouth reconstruction may be the solution that restores not only your smile, but your ability to chew comfortably and live confidently.
At Legacy Smiles Dental Clinic, we provide comprehensive full mouth reconstruction in Cebu, combining function, aesthetics, and long-term oral health.
Proper bite alignment
Jaw function
Tooth strength and longevity
Natural-looking aesthetics

What Is Full Mouth Reconstruction?
Full mouth reconstruction is a customized treatment that restores all or most of the teeth in both the upper and lower jaws. Unlike cosmetic dentistry alone, it focuses on function and stability first, then aesthetics.
Who Needs Full Mouth Reconstruction?
Our Full Mouth Reconstruction Process
Step 1: Comprehensive Assessment
- Full oral examination
- Bite and jaw analysis
- Digital scans and imaging
- Discussion of your concerns and expectations
Step 2: Treatment Planning
We prioritize function first, then aesthetics. Your plan may include:
- Crowns and bridges (e.g., zirconia restorations)
- Dental implants
- Bite correction
- TMJ stabilization if needed
Step 3: Phased Treatment
Treatment is often done in stages to ensure comfort, precision, and long-lasting results.
Benefits of Full Mouth Reconstruction
Why Choose Legacy Smiles
Full Mouth Reconstruction Cost in Cebu
The cost varies depending on the number of teeth involved, the type of restorations needed, the use of dental implants, and the complexity of the bite correction. During your consultation, we provide a clear treatment plan and cost estimate so you can make an informed decision.
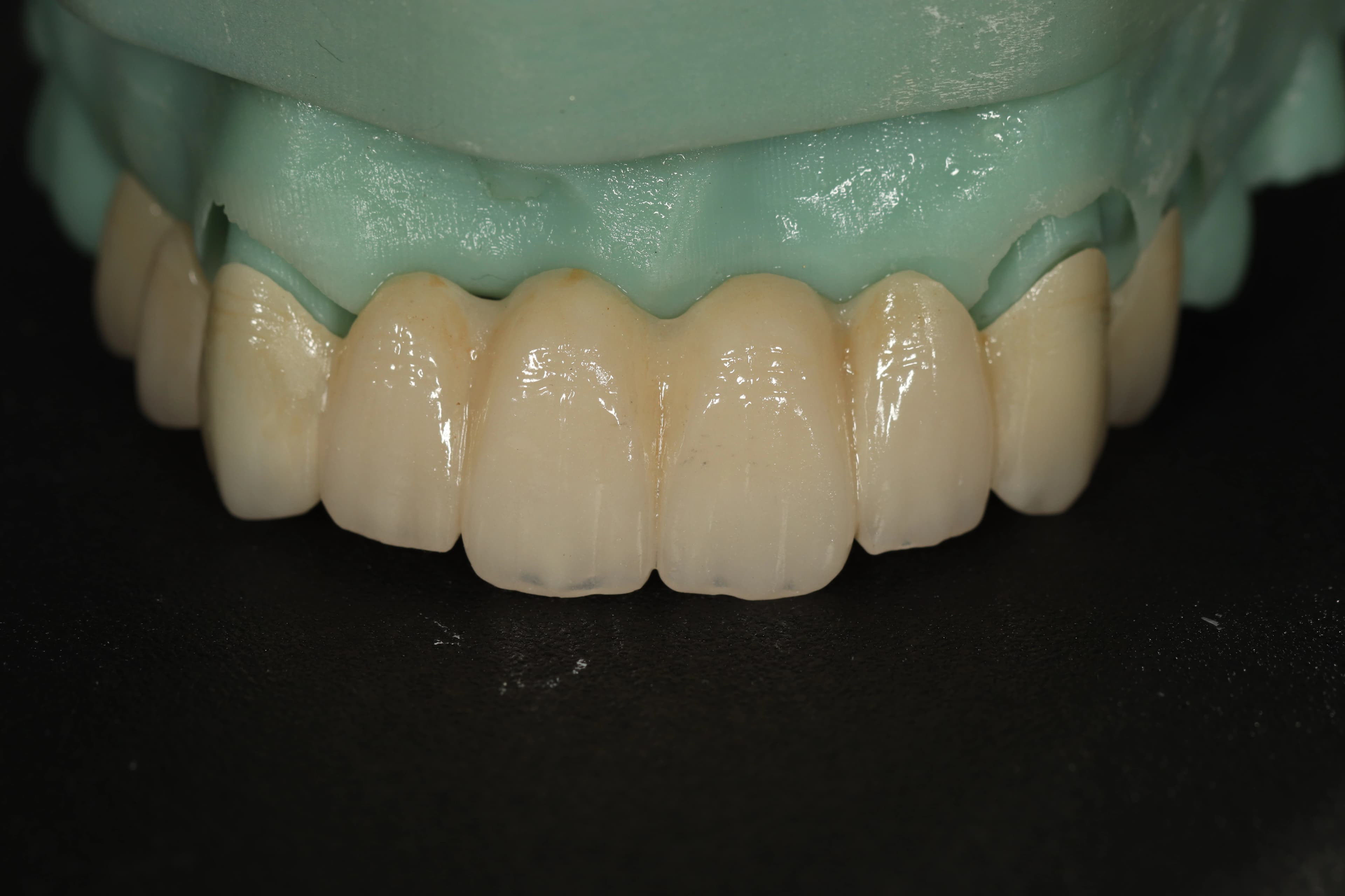
Transformation Gallery







Schedule a Comprehensive Smile Assessment
If your teeth or bite are limiting your comfort and confidence, it is time for a complete evaluation. Book your full mouth reconstruction consultation at Legacy Smiles Dental Clinic today.